
人家就不給你開轉院證
近日,王先生(化名)
早上起床后突感
右側肩背部及右上肢疼痛
休息后未見明顯緩解
來昆山市一醫院脊柱外科就診
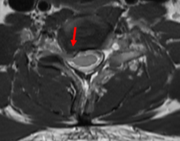
磁共振檢查發現頸椎間盤脫出
診斷神經根型頸椎病
紅色箭頭:頸椎間盤突出,
頸肩、上肢疼痛的“罪魁禍首”
通過口服藥物、使用物理治療等
規律保守治療后癥狀沒有明顯緩解
為了緩解疼痛癥狀
王先生再次來到脊柱外科就診
黃偉主任醫師建議王先生
可以通過頸椎微創手術
來緩解疼痛癥狀
王先生起初有些顧慮
經過黃偉的耐心講解
王先生同意手術
經脊柱外科主任尹毅及多學科團隊討論
決定采用單側雙通道脊柱內鏡(UBE)技術
進行手術治療
手術過程順利
術后第一天王先生感覺右側肩背部
及右上肢疼痛得到明顯緩解
目前林先生已康復出院
科主任尹毅及黃偉主任醫師
正進行頸椎UBE手術治療
脊柱外科主任尹毅介紹:
UBE技術是近年來的脊柱微創技術之一,該技術巧妙地結合了傳統開放手術和顯微內鏡手術的優點,通過建立雙通道(即一個通道用來“看”,另一個通道用來“做”),手術完全可視化,雙通道操作更靈活、更簡便、更安全。與單通道的椎間孔鏡技術相比,UBE更加適用于復雜椎間盤突出、椎管狹窄等病例的內鏡微創治療,是目前脊柱外科適應癥最為廣泛的微創治療技術。
神經根型頸椎病是脊柱外科的常見病與多發病,主要表現為頸肩部疼痛,上肢疼痛、麻木、乏力等,嚴重影響人們的生活質量。UBE手術靠兩個微小切口就能完成,手術在內鏡直視下操作,是目前治療神經根型頸椎病的微創手術方式之一。
來源:昆山市第一人民醫院
分享到微信/朋友圈 領紅包


推廣