
體檢發現“肝血管瘤”,該怎么辦?
近日,王先生(化名)因肝血管瘤在昆山市一醫院接受微創手術治療后,順利出院。
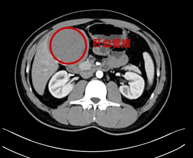
44歲的王先生8年前體檢發現肝血管瘤,無不適癥狀,定期復查。一月前患者自覺右上腹脹痛不適,且右肋緣下可觸及一包塊,立即到昆山市一醫院肝膽胰脾外科就診,查增強CT提示肝血管瘤,直徑達9cm,同時血管瘤內部合并局部出血。肝膽胰脾外科醫生根據王先生的相關檢查及臨床癥狀,建議行腹腔鏡下肝部分切除術,王先生表示同意。
增強CT可見肝血管瘤較大,且與膽囊緊密粘連
術中探查見肝臟Ⅳa、Ⅴ段臟面一腫塊突出,大小約10×8×8cm,與膽囊漿膜融合,遂行腹腔鏡下肝部分切除術,術中肝血管瘤包膜下完整切除,出血不到50ml。術后第一天王先生可下床活動,術后一周康復出院。
Q1
什么是肝血管瘤?
肝血管瘤是肝臟內血管異常增生形成的良性腫瘤,主要由擴張的血管組成。它多為先天性,生長緩慢,惡變風險極低,是肝臟最常見的良性腫瘤之一。
Q2
肝血管瘤發病因素有哪些?
肝血管瘤的確切病因尚不清楚,但可能與以下因素有關:
有些肝血管瘤在胚胎時期就已經形成,可能與血管發育異常有關。
一些研究表明,雌激素水平升高可能與肝血管瘤的生長有關,這也可以解釋為什么女性肝血管瘤的發病率高于男性。
例如,肝臟損傷、感染等也可能與肝血管瘤的發生有關。
Q3
肝血管瘤會有什么癥狀?
大多數患者無癥狀:肝血管瘤通常較小,常在體檢時通過超聲或CT偶然發現。
少數患者可能出現不適:如果血管瘤較大(通常大于5cm),可能會壓迫周圍組織,引起右上腹隱痛、腹脹、惡心等癥狀。
罕見但危險的情況:極少數情況下,血管瘤可能破裂出血,導致劇烈腹痛甚至休克,需緊急就醫。
Q4
如何診斷肝血管瘤?
超聲檢查
簡單、無創,是初步篩查的首選方法。
CT或MRI
可以更清晰地顯示血管瘤的大小、位置和特征。
血管造影
用于復雜病例,幫助醫生了解腫瘤的血供情況。
Q5
肝血管瘤需要治療嗎?
大多數肝血管瘤不需要治療,只需要定期隨訪觀察即可。但如果出現以下情況,則需要考慮治療:
(1)腫瘤較大(一般大于5cm)且生長迅速;
(2)出現明顯癥狀,如腹痛、腹脹等;
(3)不能排除惡性病變的可能;
(4)腫瘤位于肝臟邊緣,有破裂出血的風險
具體治療包括:
(1)手術治療: 包括肝血管瘤切除術、肝葉切除術等,是治療肝血管瘤最徹底的方法。
(2)介入治療:包括肝動脈栓塞術、射頻消融術等,創傷較小,恢復較快。
(3)其他治療:如藥物治療、放射治療等,療效尚不確切,一般僅作為輔助治療。
Q6
日常生活中需要注意什么?
定期體檢
尤其是已有肝血管瘤的患者,應每6-12個月復查一次。
避免劇烈運動
防止腹部受到撞擊,降低血管瘤破裂的風險。
健康生活方式
均衡飲食、適量運動、戒煙限酒,保護肝臟健康。
肝膽外科主任劉瑞文:
作者簡介
徐相蓉
住院醫師
碩士研究生,擅長肝膽胰脾疾病的診斷與治療,對肝膽胰脾外科常見疾病有豐富的臨床經驗。
審核專家簡介
劉瑞文
主任醫師
肝膽胰脾外科科主任。擅長肝臟、膽道、胰腺、脾臟、腹壁等疾病的腹腔鏡手術。對肝癌、膽囊癌、膽管癌、胰腺癌、巨脾、肝管結石、膽囊結石及息肉、門靜脈高壓癥及普外科危重疑難病例的診治有豐富的臨床經驗。
來源:昆山第一人民醫院



























